El ciclismo, ya sea recreativo, de montaña o en carretera, representa una de las actividades físicas más completas y populares. Sin embargo, no está exento de riesgos, y las caídas son una de las causas más frecuentes de lesiones, especialmente en la extremidad superior. El reflejo instintivo de protegerse con los brazos durante una caída suele traducirse en traumatismos que afectan huesos, articulaciones y tejidos blandos del miembro superior.
Entre las lesiones óseas más frecuentes destacan:
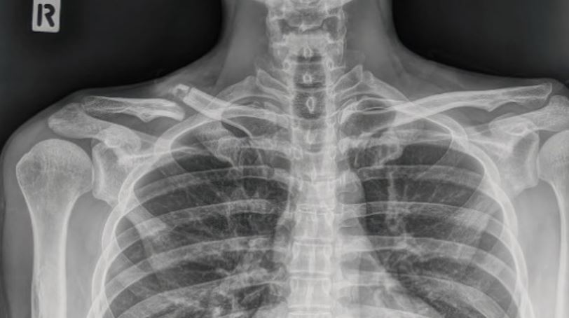
Fractura de clavícula: Muy común, sobre todo en ciclistas de montaña o en aquellos que practican descenso o carretera a alta velocidad. Esta fractura suele producirse por impacto directo sobre el hombro o por transmisión de fuerza a través del brazo al apoyar la mano en el suelo durante la caída. El tratamiento médico más habitual suele ser conservador, con inmovilización mediante cabestrillo y control médico, aunque en fracturas desplazadas o inestables puede ser necesaria la cirugía. Una de las secuelas más comunes es la rigidez del hombro por el tiempo de inmobilización, que puede limitar la movilidad y afectar al rendimiento deportivo. Por eso, es fundamental realizar una rehabilitación adecuada y progresiva, enfocada en recuperar la movilidad, la fuerza y la funcionalidad del hombro para volver con seguridad a la práctica del ciclismo.

Luxaciones de hombro y codo: También frecuentes, especialmente en caídas donde el impacto recae sobre el brazo extendido. La luxación de hombro, la más común, ocurre cuando la cabeza del húmero se sale de su lugar en la cavidad glenoidea, generando un dolor intenso y deformidad visible. Por otro lado, la luxación de codo, aunque menos frecuente debido a la mayor congruencia y estabilidad articular, puede ser más grave por el riesgo de provocar lesiones de las estructuras colindantes, como nervios, ligamentos, fracturas asociadas… Ambas lesiones requieren atención médica inmediata para reducir la luxación, algunas requerirán de intervención quirúrgica, inmovilización y, en la mayoría de casos, fisioterapia posterior para recuperar la movilidad y prevenir recurrencias.

Fractura del radio distal: comúnmente conocida como fractura de muñeca. Se produce habitualmente al caer con la mano en extensión. Puede acompañarse de desplazamiento y compromiso articular. Estas fracturas una vez reparadas suelen provocar déficits de movilidad de flexo-extensión de muñeca que deberán ser rehabilitadas.

Lesión de Benet: es una fractura característica que afecta la base del primer metacarpiano, justo donde se articula con el hueso trapecio en la base del pulgar. En ciclistas, suele producirse por una caída en la que el pulgar impacta contra el manillar, transmitiendo la fuerza hacia la base del dedo. Este tipo de fractura, aunque pequeña, compromete la estabilidad de la articulación y puede generar dolor intenso, inflamación y pérdida de movilidad si no se trata adecuadamente. Es fundamental reconocerla pronto y buscar atención médica, ya que a menudo requiere reducción y, en algunos casos, tratamiento quirúrgico para evitar secuelas funcionales.

La clave en el manejo de estas lesiones es una evaluación médica temprana, muchas veces complementada con radiografías o resonancia magnética. El tratamiento puede variar desde inmovilización simple hasta cirugía, dependiendo del tipo de fractura y el grado de desplazamiento. La prevención sigue siendo la mejor herramienta: el uso de guantes acolchados, manillares ergonómicos, protecciones y una buena técnica de conducción pueden disminuir tanto la frecuencia como la gravedad de estas lesiones. Así mismo, una adecuada educación sobre la importancia de no subestimar una caída «leve» puede ayudar a detectar lesiones a tiempo y asegurar una recuperación completa.



